京都大学の元医学部教授が絶賛!!
医学的に効果を保証された手技

京都大学医学部 元臨床教授
国民健康保険連合審査委員
京都府医師会消化器科医理事
三浦診療所医院長
三浦 賢佑先生
所属学会
・日本学会内科学界
・日本消化器病学会
・日本肝臓病学会
・米国糖尿病学会
・日本癌治療学会


主訴はもちろん不定愁訴まで改善します

事故のリスクなく、頸椎1番の矯正ができるようになったことの意義は大きいです。ヘルニア・五十肩など患者さんが訴えている主訴の改善はもちろん、慢性疲労や不眠など不定愁訴の改善、がんやアトピーの予防効果も期待できます。

本来、整体施術では消えない痛みまで鎮痛できる

鍼灸師の特権であった経絡調節が整体施術によって再現可能となったことにより、関節矯正や単純な筋肉へのアプローチでは鎮痛することのできなかった鋭い痛みまでも鎮痛できることが認められます。

神経反射により仙骨・腸骨・背骨が瞬間的に矯正できます

瞬時に骨盤から順に椎骨が矯正されるので、関節由来の疼痛除去には大きな効果があります。


一足先にこの手技を手に入れた
治療家の生の声をご覧ください
正直、このテクニックは公開してほしくありません。鍼灸師が10年間研鑽して初めて出せる鎮痛効果を素人にも再現できるからです。
出町柳鍼灸整骨院 中西拓也 先生

正直、このテクニックは公開してほしくありません。

鍼灸師になるために500万円もの学費を支払い、さらに10年間技術を磨き上げてやっと鎮痛できるような痛みが、このテクニックを使えば素人の施術者でも簡単に治せるようになってしまうからです。

私の院でも、鍼を怖がり治療を拒否される方やお子様、痛みに敏感な部位に対して、鍼を使わずに、数十秒の手技アプローチで鎮痛できる貴重なテクニックとして使わせていただいてます。このテクニックを手に入れてからは鍼を打たずに治療が終わることが増えました。 

アトラス(頸椎1番)の矯正効果には昔から目をつけており、個人的に勉強しておりましたが、このテクニックを見た瞬間「これは本物だ」と実感しました。あの上級技術をここまで安全かつ簡単に落とし込んだのは相当な試行錯誤があったことと思います。

骨盤矯正に関して驚いたのは、仙結節靭帯をほんのすこし捻るだけのソフトなアプローチでガチガチに固まった脊柱起立筋を瞬時に緩め、痛みを取り除くことができることです。

脊柱の硬結をあそこまで簡単に取り除く手技は初めてでした。実際に施術している私自信も筋肉がトロリと溶けていくようにやわらかくなる感覚を蝕知できますし、患者さん自身も、ものの数秒で痛みがなくなっていくのを実感していただけますので、初診で患者さんとのラポールを築き、信頼していただくためにはこの上ないテクニックだと思います。

三浦先生のすごいところは、これらのオリジナルテクニックを学んだ弟子達が続々と結果を出していることだと思います。今まで多くのセミナーを公演してきた三浦先生が教えるからこそ、再現性があり、現場でも結果が出ているのだと思います。

私もお蔭さまで、今一つ取り切れなかった痛みを初診で鎮痛できるようになり、どんな重症の患者さんに対しても自信をもって接することができるようになりました。

このテクニックは間違いなく私の一生ものになると思います。三浦先生、これからもよろしくお願いいたします。

たった2ヵ月で患者さんの数が倍増しました!初診から結果を出せるので大変重宝しています。
山田麻里子 先生

このテクニックの効果には、施術者である私自身がビックリしてしまいます。

もともと三浦先生は京都では有名な先生だったので、先生のもとで整体を学びたいと思い弟子入りを志願しました。

三浦先生から教わったテクニックは本当に簡単で、正直「本当に効果が出るの?」と疑問に思ったこともありました。しかし自院で使いだしたところ、他のどの治療院でも治してもらえなかった痛みが1回でなくなった!と患者様から大変評判をいただき、これはスゴイテクニックなんだ…と初めて実感しました。

15分もかからずに骨盤・上部頸椎・経絡のすべてにアプローチできるので、今まで初診で結果を出せなかった患者さんの痛みが急に取れるようになったり、施術後、不眠だった患者さんが急に眠気を催してグッスリと寝入ってしまったり、鬱で暗い雰囲気の患者さんが薄っすらと笑顔を見せるようになったりと、とにかくその場ですぐに結果をだして、患者さんに効果を実感していただけるので大変重宝しています。

なんと…このテクニックを取り入れてからは、たった2ヶ月で患者さんの来院数は倍増しました。やはり初診から結果を出せるので、特に売り込みをしなくても自然と2回目の来院を決めてくださる患者さんが多いです。

患者さんが増えた分、忙しくなりましたが、このテクニックなら女性でも力を使わずに結果を出すことができます。一日中施術し続けてもそれほど疲れないので、長く使い続けられると思います。

セミナー通いが必要なくなりました。色々な手技セミナーに参加してきましたが、臨床でここまで役に立つ再現性のある手技はまずないと思います。
竹村了悟 先生

「京都市に凄いカイロプラクターがいる」

とお聞きして、実際に三浦先生の所に患者として伺い、このテクニックによる治療を受けました。

問診から治療まで終始穏やかな印象でしたが、今まで職業病として諦めていた腰痛がものの数秒で消えはじめ、1分も経たないうちに脊柱周りの頑固な硬結がなくなってしまい、唖然としました。

この手技はぜひとも習得したいと思い、三浦先生の主催する勉強会に参加したのですが…たった2回講義を受けただけで三浦先生と同等の結果が出せるようになるとは願ってもいませんでした。

短時間で普段の施術に加えることが簡単で、患者さんに負担を与えないので、老若男女すべての年齢層に使えるうえ、非常にたくさんの症状に対応することができます。

私もいろいろな手技セミナーに参加してきましたが、臨床でここまで役に立つ再現性のある手技が手に入ることはまずありませんでした。

巷では再現性や効果の薄い手技が多く出回っていますが、三浦先生の手技は本物だと思います。もうDVD集めやセミナー通いは必要ないと思いますよ。

このテクニックは、もっと多くの治療家さんに使われるべき素晴らしいテクニックです。この手技を早くから勉強できたことを誇りに思っています。

アプローチの手段が無限にあるので、どんな痛みも必ず改善できます。施術後にまだ痛い・・と言われることがなくなりました。
まつやま鍼灸接骨院 牧孝二郎 先生

まさに患者さんのことを考え尽くされたテクニックだと思います。

鍼灸とカイロプラクティックを主軸にした統合的な治療法により、症状に対して3つの角度からアプローチすることができるので、ほぼ確実に症状の原因を取り除くことができます。

患部を直接触らず鎮痛できるという点では、患者さんに痛みを感じさせたり、予想外の事故が起きたりする心配もないので、安心して使うことができます。すべて三浦先生のオリジナルの域まで昇華された施術法なので、他院ではまず受けることができないという点も大きな差別化の要素になるでしょう。

さらに、このテクニックは簡単なのに奥が深いです。一度結果を出せるようになったら、ほんの少し応用を利かせるだけでアプローチの手段を変えられるので、何をやっても痛みが取れないということがなくなりました。どんな痛みも必ず改善させることができます。

自分自身の創意工夫によって、治療の可能性を無限に広げることができる素晴らしい手技です。
このような治療法を創り出した三浦先生の真摯な姿勢に尊敬の念を抱いております。

椎間板ヘルニアの痛みが5分もしないうちに消えていきました。あれがテクニックのほんの一部でしかないなんて…思わず息をのみました。
すがぬま鍼灸接骨院 奥野範人 先生

私は椎間板ヘルニアの腰痛に苦しんでおり、腰の左側が特に張っている状態が絶えず続いていました。

そこで三浦先生の手技を受けさせて頂くことになり、その治療技術と長年の実績で培われた技量・考え方に感銘を受けました。

私が受けた手技はカイロ界ではローガンベーシックと呼ばれている手技を三浦先生が改良したものです。これは仙結節靱帯にやさしくアプローチすることで、重心の左右差を矯正し自然と脊柱周りの筋硬結が緩んでいく不思議な手技です。施術者と被験者ともに筋肉がやわらかくなって痛みが取れるのを実感できるので、臨床でとても使いやすいと思います。

ガチガチに緊張していた筋肉がふわ~っと緩んでいくのが体感でき、5分もしないうちに痛みが消えていったのを覚えています。

ここまで劇的な治療結果が、テクニックのほんの一部でしかないことを知ってさらに驚きました。改めて三浦先生の凄さに息をのんだほどです。


あれだけでも、十分すぎるほど価値のある素晴らしい手技です。
ぜひ、一度学ばれることをお勧めさせていただきます。

昔どこかで聞いた程度のカイロテクニックかとおもいましたが、まったくの別物。初めて習ったその場で「これは使える」と確信しました。
まにわ鍼灸院 理学療法士 馬庭藤浩 先生

三浦先生のテクニックは、鎮痛効果に優れ、整体師でない素人の方でも簡単に再現できるほどの再現性を誇るテクニックです。

実際に臨床で使用した結果、難治症の肩こり、脊柱管狭窄症、頸椎・腰椎ヘルニアなど、多岐にわたる症状に驚くべき効果を発揮しています。

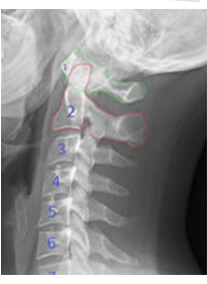
まずアトラス(頸椎1番)矯正に関して。

私は手技にこだわりアジャストを積み重ねてきたので、ある程度の知識はあるつもりでしたが、それでも三浦先生の神経圧迫機序についての講義は驚きでした。内容は翌週から臨床で使っていけるほど簡単でしたが、治療効果は自分が今まで研究してきた治療法をはるかに凌駕します!

次に、経絡治療についてです。

これはどの経穴にも使えるテクニックで、先生の常用穴刺激法を10パターンほどご披露いただき、体験させていただきましたが、初めて習ったその場で「これは使える」と確信しました。今は私が普段している常用穴に応用して臨床で使っており、患者様に大変感謝されています。

最後に骨盤矯正についてです。

昔どこかで聞いた程度のカイロテクニックかと思いましたが、まったくの別物。背部の疼痛除去には抜群の効果がありました。ほんの数秒、坐骨結節のあたりに指1本のアプローチをするだけで腰部から肩にかけての筋肉の緊張がほどけていきます。

三浦先生のどの技術にも共通することは、効果がその場で出るので患者様との信頼関係が容易に築けることです。特に新規患者様に関しては、1回の施術で症状が改善することがすべてなので即効性の高いこれらのテクニックは今では私の院の治療には欠かせない施術となっております。

これからご紹介する手技は、京都市にいる“とあるゴッドハンド治療家”が考案した手技です。

カイロプラクティックと鍼灸の世界で「最高峰」と呼ばれる効果の高いテクニックを組み合わせ、鍼や特殊な器具などを一切使わず、治療の素人でも再現できるように創られました。

しかし、本来であればこの手技は、一般公開することを禁じられています。

なぜなら、カイロプラクティックと鍼灸業界には有資格者以外にテクニックを教授してはならないという規制があり、もし万が一、不正な教授が発覚した場合は、教授した本人が業界から除名処分を受けてしまうためです。

この手技も、その治療効果のあまり秘匿性の高いものとして業界内の人間しか手に入れることがないように管理されていましたが、今回“ある事情”によって特別に公開することができました。

詳細は追ってご説明させていただきますが、あなたがこの手技を手に入れる上で何らかの危害を被る恐れはございません。どうか安心して続きをお読みいただき、この手技を使って1人でも多くの患者さんを救っていただけますことを、心より願っております。

株式会社治療院マーケティング研究所

先生はこんなことで悩んでいませんか?
  • 完全に取り切れない痛みがある
  • 手技に即効性がない
  • 施術結果にムラがある
  • 治療効果が持続しない
  • 重度の症状を治す自信がない

もし、ひとつでも当てはまるお悩みがあれば、是非このページを最後までご覧ください。

これらの悩みをすべて解消することができます。

なぜなら、これからご紹介する手技は、
治療家なら誰もがぶつかる「治せない壁」を突破できる手技だからです。

まず最初に、この手技の最大の特徴をご覧ください。

たった20秒で痛みが激減・消失!
しかも、施術失敗の心配はありません!

この手技で痛みが取れないことは、ほぼ100%ありません。

なぜなら、この手技は全身のあらゆる痛みの原因に対して、まったく別の3つの方法でアプローチすることができるからです。

3つ全てアプローチする必要はなく、3つのうち1つでも痛みが取れれば施術終了です。
もし、1つ目のアプローチで痛みが取れなければ、残りの2つで取ることができます。

また、施術方法はシンプルですが奥が深い手技です。

なんと、基本を押さえることができれば360通りの鎮痛アプローチができるようになります。

つまり、あなたは1つのアプローチ法で万が一結果がでなくても、まだ360通りの保険を持つことができるのです。

しかも・・・

<五十肩、ヘルニア、膝痛、慢性疲労、不眠…>
すべての筋骨格系の症状と
自律神経系の疾患を根治、さらに…

この手技を手に入れると、対応できる症状の幅に制限がなくなります。

なぜなら「アトラス(頸椎1番)」「骨盤」「経絡」という3つの角度からのアプローチによってあらゆる症状の原因に対し多角度的に改善を試みることができるからです。

筋硬結の弛緩、骨格の矯正、体液循環(脳脊髄液・血液など)の正常化、自律神経の正常化、内臓機能の正常化など…医学的に症状の原因として考えられるものは全て、この手技によって改善させることができます。

これによって、すべての筋骨格系の症状と自律神経系の疾患を根本的に改善することができ、さらにはガンや内臓疾患など、将来的に大病を患うリスクを大幅に軽減することまでも可能です。

驚くべきは、これら3つのアプローチを完了するのに必要な時間は、全部組み合わせても“たったの15分”しかかからないという点です。

これら3つのアプローチは単体で使うだけでも充分な効果が見込めますので、最短20秒で結果を出すこともできます。全てのアプローチを使ってもよし、1つだけあなたの施術に取り入れてもよしです。

この手技を取り入れるメリットとは?
  • 従来の整体アプローチでは取り切れなかった症状が完全に治せるようになるので、自分の腕に自信を持つことができます。
  • シンプルながら奥が深いテクニックなので、一度覚えてしまえば360通り以上の鎮痛アプローチができるようになります。
  • 「カイロの神髄」と呼ばれ、数千万円の器具を使ってやっと矯正できるとされるアトラス(頸椎1番)の歪みを、翌日からあなたの手で矯正できるようになります。
  • 鍼灸師が10年かけて習得する鎮痛治療と同等の結果を、鍼を使わずわずか数十秒で再現できる経絡アプローチができるようになります。
  • 最短20秒!即効で鎮痛できるので、施術を始めた直後から患者さんと信頼関係を築くことができます。
  • 筋肉の硬結が溶けるように無くなっていくのが患者さんにも実感していただけるので、初診から患者さんを驚かせ「他の先生とは違う!」と差別化することができます。
  • 直接患部に触れず、身体のいたるところから鎮痛アプローチができるので、重症患者さんに無理な姿勢を強いることなく症状を改善することができます。
  • がんや内臓疾患、高血圧など加齢とともに起こるとされる疾患を未然に防ぐことができるので、ご老人の患者さんなどに通院をオススメしやすくなります。
  • 慢性疲労やうつ、不眠など自律神経系の症状を訴える患者さんにも、たった1回の施術で変化を感じさせることができます。

ではここで、この手技の考案者である
“京都一のゴッドハンド治療家”をご紹介させていただきます。

日本で唯一!カイロ&鍼灸の最高技術を
“人の手”で再現することに成功した
DC・元鍼灸師会理事のゴッドハンドが登場


20年前、自分の腰痛がカイロプラクティックにより完治したことをきっかけに治療家を目指す。

ロイヤルメルボルン工科大学を卒業し、ドクターオブカイロプラクティックに相当するカイロプラクティック学位を取得。卒業後は日本橋や大阪のカイロプラクティックにて多くの臨床を経験し、その後2003年より京都で開業。さらに京都医健専門学校に入学し、鍼灸師の資格を取得。ほどなくして京都府鍼灸師会から実力を認められ、青年部長に引き抜かれる。

今回、公開する手技が生み出された背景には、“ある特別な想い”がある。

三浦は4年前に、自身の母親を乳ガンの再発で亡くしている。1年以上かかりつけ医院での見過ごしがあり、京都大学医学部付属病院に転院。抗ガン治療を数回行ったものの、生命が危険なレベルに達したため中止、自宅にて医師である父と共に緩和ケアをする道を選ぶ。

三浦は母を毎週診ていたが、母は原因がはっきりしない痛みを訴え続け、遂には満足のいく根本治療を施せぬまま、他界する。

最愛の母の死を経験した三浦は、その無念と悔しさから、治療に対して揺るぎ無い信念を抱いた。

「母にするべきであった治療を、現在の患者様に施したい」

これをきっかけに、手技の開発がはじまる。

鍼灸治療の経路鎮痛法とカイロプラクティックの上級技術、そして、京都大学の元医学部教授である父の指導のもと西洋医学の理論までも取り入れ開発されたこの手技は、すべての筋骨格系の症状に対し30秒以内に鎮痛効果を実現できるうえ、そのアプローチの手段は無数にあり「鎮痛できない痛みはない」と謳われるほどである。

また、アトラス(頸椎1番)のズレを修正することにより、脳から全身に及ぶ神経伝達が正常化するので、慢性疲労や不眠症、頭痛、うつなど自律神経系の疾患に対しても劇的な効果を出せる。

さらに、母の命を奪ったガンや内臓疾患を予防する“未病効果”も実現できており、現在、彼の自院では9名のガン患者が通院中。現状の生存率は100%であり、日々再発予防に邁進している。

彼の院では10人中9人の患者が3回以上リピートしており、既存・紹介がほとんどのため2ヵ月先まで予約が取れない、「京都一のゴッドハンド」として名高い。

その他の活動として、自院を経営する傍ら、学生などに向けてセミナーや勉強会も開催している。

このように、治療院業界において大変輝かしい成績を収められている三浦先生ですが、この手技の開発から公開までには“大きな壁”が立ちはだかりました…

まずは、この手技がどのようにして誕生したのか?という開発の背景にあった物語からお伝えしたいと思います。

「ステージ4、余命3ヶ月です」

かかりつけの乳ガン専門病院は、母の乳ガンの再発を1年以上見過ごしていた。

異変を感じた母が京大に転院した時の診察室は、まるで葬儀場のようだった。

主治医からの説明を、医者の父と共に聞く。

診察する先生数人が険しい顔になり、教授が「体調はいかがですか?」
「何かストレスがかかるようなことがありましたか?」

母は黙って受診していたが、遂に来たな。という顔をしていた。
家族の前で泣く人ではなかった。
本人への通達はショックであっただろうに、母が一番冷静に受け止めていた。

本人を前に淡々と話す医師の言葉が乾いて聞こえ、示された資料が霞んで見える。

――母が死ぬ。

間違いであってくれ。夢の中の出来事であってくれと心の中で叫んだ。

30年ぶりに、凄い力で―

病との闘いが始まる。

京大で抗ガン治療を数回行ったが、生命が危険なレベルになったため中止。
父と共に自宅で緩和ケアをする日々となった。

以前から自分の患者でもあった母の再発を防げなかった自戒の念と共に、
毎日カイロ鍼灸治療を続け、ガンを治した実績のある代替病院巡りを続けた。

しかし、母は日に日に衰弱していく。

父が日本バプテスト病院の緩和ケアと連携し、疼痛時はモルヒネで痛みを緩和していたのでなんとか人格を保てていた母は、小言の一つも言わずお礼ばかり言っていた。

娘2人に会う時だけは笑顔で、娘たちをよく抱きしめるようになり、自分も30年ぶりに、
一度凄い力で抱きしめられた。

これは、母なりの別れの挨拶だったのだろう。

最期はモルヒネの水分を調整し、濃度を増やすことで母は眠るようにこの世を去った。

母に施すべきであった治療を
現在の患者様に施したい

腰痛や肩こり、不定愁訴の痛みに苦しむ母を、自分の力で楽にしてあげかった。

三浦先生は母親の死を経験して以来、自分を信じ通院していただく患者様の大病を防ぎたいと強く想うようになり、試行錯誤を繰り返し、手技の開発に没頭しました。

最初は関節矯正の最高峰とされる「ガンステッド」と呼ばれる手技がメインで、パーマー大学を卒業された臨床40年の小林DC(ドクター・オブ・カイロプラクティック=カイロ学位保持者)のもとで修業を積んでいました。

ガンステッドにより間接矯正が成功すればどんな痛みも取れると考えていましたが、このテクニックを小林DCと同等のレベルで再現するには、レントゲン撮影から関節の微細なズレを計測し、精密な手技による矯正が必要不可欠でした。

失敗により患者さんに後遺症を与えてしまう恐れもあり、とてもマネできる代物ではありません。

どうにか安全かつ、ガンステッドのように効果の高い治療をすることはできないだろうか?

そうして辿り着いた答えが“あの部位”の矯正だったのです。

「小林DCの施術と同じくらい楽になる」と患者さんからもお墨付きをいただいている、その治療効果の秘密とは・・・

コレさえできればどんな症状も根治!
臨床40年のDC並の結果が出せた
唯一の治療法とは?


その秘密はアトラス(頸椎1番)にありました。

重い後頭骨の真下にあるアトラスは全身の歪みが集中する場所であり、その矯正効果の高さから「カイロの神髄」とも呼ばれている部位です。

脳からの神経伝達が正常に伝わらないと、患者さんの主訴である、慢性的腰痛、肩こり、頭痛、背中痛、自律神経の乱れ、不定愁訴など、様々な不調が起こることは言うまでもありません。

アトラスにズレが生じると、脳からの神経伝達がシャットアウトされて、全身の機能が正常に働かなくなってしまいます。

それほど重要な部位ですので、アトラス1つ治すことができれば当然、身体全体の機能が一気に正常化します。主訴が消えるだけではありません。患者さんの身体が治癒力を取り戻し、ほかの部位の矯正では得られない劇的な結果を出すことができるのです。

しかし、ここで一つ大きな問題があります。

アトラスの矯正はカイロ界において最重要かつ最難関のテクニックとされており、マスターするには気が遠くなるほどの時間とお金が必要でした。

「普通に学んでいては、いつまで経っても臨床には使えない」

そこで、三浦先生が“ある仮説”をもとにしてアトラス矯正に改良を試みたところ・・・

「カイロの神髄」と呼ばれたあの高等技術が…
●●にアプローチするだけで
簡単かつ安全に再現できた!

その仮説は大当たりでした。

なんと、三浦先生が改良したアトラス矯正は、従来のアトラス矯正よりも遥かに簡単かつ安全に結果を出すことができたのです。

では、三浦先生はどのようにして最難関のテクニックを簡略化したのか?

そのカギは「ゴルジ腱器官」の反射にありました。

ゴルジ腱器官とは、骨と筋肉の付着部(腱の部分)に存在する感覚器です。

腱が伸ばされ切れそうになると、ゴルジ腱器官が「危ない」と脳へ信号を発し、腱が切れないように筋肉を緩めようとします。

三浦先生はこのゴルジ腱器官の反射を利用し、頸部にある一定の刺激を与えることで頸骨と頸骨を繋ぐ筋肉を弛緩させ、アトラスのズレを正確に矯正することに成功しました。

このテクニックを使うと、わずか数秒頸部に触れているだけで、勝手に頸骨が動き出します。
あとは「カコッ…」とアトラスが本来の位置に収まるのを待つだけで、施術終了です。

しかもその再現性は、整体未経験の若い女学生さんでも、たった2回やり方を教わっただけで習得できたほどです。治療家の先生がこのテクニックを手に入れれば、すぐにその場で結果を出すことも難しくないといえるでしょう。

さらに、三浦先生はこの手技を応用し、“たった20秒、指1本で触れるだけ”のアプローチで“あの部位”の矯正を行うことにも成功しました。

指1本で骨盤矯正が完結
痛みやコリの「本当の原因」が判明

三浦先生のテクニックなら、たった20秒、指1本のアプローチで骨盤矯正が完了します。

テクニックの概要を簡単に説明すると・・・

親指を使って仙結節靭帯を少しひねるだけで、腸骨・仙骨・背骨をすべて矯正することができるのです。

信じられないですか?でもこれは本当のことです。

このテクニックで仙結節靭帯にアプローチすると、ゴルジ腱器官の筋肉の弛緩作用によって、ガチガチに固まっていた脊柱起立筋と殿筋が一気に緩み始め、仙骨から腰椎、胸椎と背骨が下から順番にクルクルっと矯正されていきます。

さらに神経の反射によって、仙結節靭帯と交わっている後仙腸靭帯まで勝手に緩み、腸骨の歪みも自然と矯正されるのです。

いかがでしょうか?

本当に“たった20秒、指1本で触れるだけ”のアプローチで骨盤矯正が完結するのです。

あの骨盤矯正が20秒で終わるとしたら、普段の施術がどれくらい楽になると思いますか?
しかも指1本で触れるだけなので、ご老人や重症患者さんにも負担を強いることはありません。

さらに、メリットはそれだけではありません・・・

コレだけで脊柱の歪みがすべて整う!

アトラスと骨盤を矯正するだけで、脊柱の歪みがすべて整います。

なぜか?脊柱を一本のヒモと例えると、この理屈がよくわかります。

このヒモ↑をピンと伸ばそうとするとき、あなたはどうしますか?

もちろん、両端を持って引っ張りますよね。小さな子供でも分かる理屈です。
ヒモの中心をいくら動かしてもまっすぐにするのは至難の業でしょう。

従来のように脊柱をポキポキ矯正する方法は、ヒモの中央をいじってまっすぐに伸ばそうとするのと同じで、いくらやっても無理なのです。

それでは、脊柱のゆがみを正すには、どうしたらいいのか?

ヒモの両端に当たるのはアトラスと仙骨(骨盤)です。
ですから、この両方を矯正することさえできれば脊柱を理想の形にすることができるわけです。

もちろん実際に身体の中で起こっている現象はもう少し複雑ですが、脊柱の両端であるアトラスと仙骨(骨盤)がもっとも重要であることはお分かりいただけたことと思います。

――よし、これで脊柱の歪みはすべて整った。

脳からの神経伝達は正常化され、脳脊髄液や血液の循環も正常化し、自然治癒力も向上した!
骨格の歪みも整い、筋肉の硬結もあらかた解消されたので、どんな痛みも完治できるはず!

少なくとも西洋医学の観点からみれば、痛みと疾患の原因はほとんど潰しているから、大丈夫!

アトラスと骨盤の矯正法が完成したとき、三浦先生はそう確信していました。

しかし、現実は違ったのです。

西洋医学的には痛みが消えるはず…
しかし、なぜか鎮痛できない痛みがある

全身の関節矯正をしても、まだ痛みを訴える患者さんがいる。

もしかしたら、このページをご覧のあなたも、同じお悩みを抱えているかもしれません。

「なぜ、痛みがなくならないのか? 理論上は痛みが消えるはずなのに・・・」

三浦先生は、セミナー、DVDでの治療法の学習はもちろん、
自ら様々な治療院へ足を運び、ありとあらゆる治療法をその身で受け、試行錯誤しました。

SOT、オステオパシー、PCRT(心身条件反射療法)、ホールインワン
頭蓋矯正、筋膜アプローチ、マニピュレーション、リフレクソロジー…

痛みを治すためならどんな方法でも試しました。


様々な研究を繰り返した結果・・・

西洋医学的な観点からは鎮痛できなかった痛みは、
“ある治療法”がもっとも有効であることに気付きました。

整体療法では辿り着けなかった領域

関節矯正や筋肉アプローチをはじめとした整体療法では、どうしても取れなかった痛み。

その痛みを唯一鎮痛できたのが、鍼治療でした。

特に「少し筋膜に触れるくらいの鍼」が効果的で、最も鎮痛効果が高かったのが『運動鍼』と呼ばれる、経絡を刺激しながら筋肉を伸縮させる技術でした。

「これだ・・・!」

それからは、鍼を恐がる小児や女性患者さんに対して、鍼を使わないやさしい手技アプローチで経絡を刺激し、痛みを取る方法を模索しました。

そしていつしか、鍼でしか治せなかった痛みが手技で鎮痛できるようになったのです。
しかも、鍼を打つよりもずっと早く・簡単に治療効果が出せるようになりました。

この方法ならシンプルなアプローチ法をたった1つ覚えるだけで、どの経穴にも応用できます。

1~2個の経穴にアプローチするだけでもほとんど痛みがなくなるのに、経穴は全身に約360個もあります。つまり、万が一鎮痛できなかった場合にも、いくらでもアプローチの手段を変えて、鎮痛させることができるのです。

そして遂に・・・

史上初!カイロ&鍼灸の最高技術を融合
整体施術では治しきれなかった
どんな痛みも完全に消せる手技

従来の整体施術では治しきれなかった痛みまでも完全に消せる手技が誕生しました。

「カイロの神髄」と呼ばれるアトラス(頸椎1番)の矯正法、骨盤矯正法、鍼灸治療の経路鎮痛法の3つの手技を組み合わせ、西洋医学・東洋医学両方の理論に基づいた医学的な考察のもと完成したこの手技は『3WAYペインキラーテクニック』と名付けられ、

業界史上初、カイロプラクティックと鍼灸の最高峰の技術を融合させた手技として、
今回あなたに公開させていただくことができました。

…誇張していると思っていませんか?
もしあなたがそう思っても、無理はありません。

ですが、これは事実です。
ここで実際に3WAYペインキラーテクニックを受けた患者さんの生の声をご覧いただき、
果たしてこの治療効果が真実なのか、あなたの目でお確かめください。

本当に痛みがなくなった!!
ペインキラーテクニックを受けた患者さんが
治療効果を証明してくれました
医学博士の私から見ても納得せざるを得ない理論です。ペインキラーテクニックの発表には素晴らしい意義があると確信しております。
脳神経外科医 土屋寿司郎 先生

私は脳神経外科医として、日々医療の最前線で患者様と向き合っています。

何を隠そう、私も三浦先生の患者の1人で彼の施術をこの身をもって体験しており、
この度のペインキラーテクニックの発表には素晴らしい意義があると確信しております。

ペインキラーテクニックは西洋医学、カイロプラクティック、鍼灸治療というWHOが認可する3つの治療を合理的に融合させ、医者である私にも納得せざるを得ない理論で構築されています。

特に目を見張るべきは椎間板ヘルニア、脊柱管狭窄症、四肢関節炎など筋骨格系の疾患に大きな治療効果を発揮するところです。瞬時に筋肉の硬結を解消し、痛みを取り除くあの治療法は病院では受けることができません。


また、ほかの多くの治療法は患者さんが病気になってから治療を始めますが、このペインキラーテクニックは内臓疾患やがんなどの予防にも大変効果的であることが認められます。

この治療法が世に広まることで、病に悩む患者さんが減っていくことは間違いないでしょう。1人でも多くの先生に、習得していただきたいものです。

坐骨のあたりにやさしく触れられるだけで、腰の筋肉が溶けるように柔らかくなり「なんだこれは!?」という印象です。
黒本歯科クリニック 歯学博士 黒本浩之 先生

急にギックリ腰になってしまい診療するのも一苦労でしたが、三浦先生の施術後はウソのように楽になりました。

カイロプラクティックと聞くと、もっとダイナミックにバキボキ背骨を鳴らしていくイメージでしたが、実物は全く違いました。ギックリ腰の状態でも辛くない姿勢から、坐骨のあたりにやさしく触れられるだけで、腰の筋肉が溶けるようにやわらかくなり「なんだこれは!?」という印象です。

これは初診の患者様に魅入られること間違いないですね。直接患部に触れずに痛みを取り去る、素晴らしいテクニックだと思います。

10分歩くのがやっとなほど辛い狭窄症が、まったく気にならなくなりました!腎炎も良くなって、施術後は必ずお手洗いを借りるようになりました。
SKさん 女性

背柱管きょう窄症の為、足の太ももが動かず10分歩くのがやっとでした。

運動ができないことが原因となっているのか、症状は年々悪くなるばかり…。治すには手術しかないかと考えていたころ、三浦先生のお話しを友人から聞き、手術が怖く不安が大きかったので、藁にもすがる思いで相談しました。

三浦先生は私の症状をすぐに理解してくださり、どういった箇所が痛いか、また、どういったタイミングで強く痛むか、私以上に私の体を知っているような感覚でした。

治療の結果もスゴイの一言!今では自分がきょう窄症だったのを忘れてしまうくらい、どこも気にならず歩けるようになっています。痛みもしびれもなく、足も軽々上がるようになりました。

買い物に出かけるのさえやっとだった私が、自らすすんで散歩に出かけることができているなんて、以前の私なら想像することすらできなかったと思います。

また、慢性的な腎炎を患っていたのですが、治療後は必ずお手洗いをお借りするようなりました。三浦先生の治療は痛みがなくなるだけでなく、本当に健康になれる治療なんだと信じています。

きょう窄症の痛みはなくなりましたが、今では健康を保つために定期的に治療のお世話になっています。三浦先生、これからもよろしくお願いします。

三浦先生は京都で一番の整体の先生だと思います。どこに行ってもまるで改善しなかった腰痛が完全に治ってしまいました。
HTさん 男性

「腰椎ヘルニア。手術が必要です」

医者からそういわれたときは本当にショックで、しばらく仕事も休まなくてはいけないと思っていました。ただ、どうしても手術に踏み切ることができず、色んな整骨院、整体院、鍼灸院をまわり手術しない方法を探しましたが、時間の経過と共に痛みはきつくなっていました。

これはいよいよ、手術するしかないのか…と思っていた矢先、知人から「京都にすごい先生がいる」ということで三浦先生を紹介され、半信半疑で伺いました。

三浦先生に出会えて本当によかったと思っています。どこに行ってもまるで改善しなかった腰痛が、最初の施術からふわ~っとなくなっていき、何度か通院するうちに完全に治ってしまいました。

紹介された通り、京都で一番の整体の先生だと思います。
ありがとうございました。

慢性頭痛や肩こりが治るのはもちろんですが、何より施術後に疲れがじわ~っと抜けていく感覚が堪りません。
TNさん 男性

慢性的な頭痛にずっと苦しんでおり、肩や首もコリやすく何をするにも常に痛みと気だるさがついて回りました。

三浦先生と出会う前は医者に処方された薬を飲んでいましたが、一時的に痛みがなくなるだけです。薬を使わず根本的に健康になりたいと思い色んな治療院を訪ねましたが、薬と同じように一時的に楽になるだけで、時間が経つと元に戻ります。

一生この痛みと付き合っていくのか…と考えては憂鬱になる毎日でした。

そんな中、知人の紹介で三浦先生の院を知り、治療を受けたことが私の転機だったと思います。

今までいろんな病院や治療院に通っていた日々は何だったのでしょうか。三浦先生の治療を受けた後は頭痛、肩や首のコリが無くなっただけではなく、身体中がとてもリラックスした状態になり、疲れがじわ~っと抜けていくような感覚になります。その日の晩は何年かぶりにグッスリと眠ることができました。

翌日の朝も今までにないスッキリとした目覚めでした。勢い余って散歩に出かけてしまったほどです。

ジーッと触れるだけの治療で???という感じでしたが、痛みがウソのように消えてしまい大変驚きました。
TKさん 男性

「京都にすごい先生がおられる」

友人からの紹介で、家からはすこし遠いところにいる京都の三浦先生にお会いしました。

はじめて治療を受けたとき、ジーッとただ触れるだけの治療をされ、???という感じでしたが、痛みがウソのように消えてしまい大変驚きました。

今までたくさんの整体や鍼のお店に通っていましたが、三浦先生の治療なら信頼できると思い、今でも膝痛と肩こりの予防のために遠くから通院しています。

施術の真っ最中から筋肉が溶けて肩こりがなくなっていくような感じがしました。
YUさん 女性

今こうして日常生活を楽しく送れているのは三浦先生のおかげです。

私はストレートネックで肩こりがとても酷い状態でした。いろんな整体院を訪れましたが、その場では改善されるものの、2~3日経つとまた肩がこり始め、結局お金の無駄になってしまいます。

そんな中、たまたま三浦先生の院に訪れたのですが、施術の真っ最中から筋肉が溶けて肩こりがなくなっていくような感じがしたのが強く印象に残っています。

他の整体院で受けた施術とは明らかに違う感覚がありました。施術後に自分自身で肩を触ってみると、筋肉がぷにぷににやわらかくなっていたので、この結果は本物だと思います。

施術から数日たっても、肩こりは戻ることなく、それどころか施術前より頭がスッキリしたような感覚がずっと続いていて、仕事もすごくはかどります!


家が滋賀にあるので、京都にある三浦先生の院はすこし遠いですが、月に一度は身体のメンテナンスをするために、通うことにしています。これからも長くお世話になりたいと思っていますんで、どうぞよろしくお願いします。

ほんの数分、息子の首のあたりに触れただけで乗り物酔いをする癖がなくなりました。
MTさん 女性

今年で3歳になる息子は、1歳の頃からの乗り物酔いが酷く、出かけるたびに吐いてばかりいました。

できるだけ旅行や遠出をし、息子にいろんな体験をさせてあげたいと考えていましたが、乗り物に乗ったら必ず気持ち悪くなってしまうので、息子も出かけることを嫌がってしまいます。

そんな中、友人の紹介で三浦先生のことを知りました。

乗り物酔いは体質の問題であり、治せるものではないと思い込んでいましたが、このとき三浦先生にお会いできて本当によかったと思っております。

それにしても、三浦先生の施術は不思議です。ほんの数分、三浦先生が息子の首にやさしく触れているだけで治療が終わってしまいました。

最初は「えっもう終わりですか?」とつい口走ってしまいましたが、その日の帰りの車では息子はグッスリと気持ちよさそうに眠っており、車から降りた後も特に酔ったような様子はなく、もしかして、首にちょっと触れるだけで治っちゃったの?という感じです。

早速、家族で旅行に行ってきました。行きも帰りも道中では息子の乗り物酔いは出てこなく、とても元気に嬉しそうに笑顔でお喋りしていました。

小さなお子様のことで悩んでいらっしゃる方は是非一度、相談されてみたら良いと思います。

内科の先生が驚くほど高血圧をよくしていただきました。おだやかな治療がすごく効いとります。
TYさん 男性

内科の先生が驚くほど高血圧をよくしていただきました。

おだやかな治療がすごく効いとります。先生の治療はいつも心地よくて、自然と眠くなってしまいます。高血圧だけではなく、様々な疾病を予防できるそうなので、かならず通うようにしています。これからもヨロシク。

整形外科に長年通院しても取れなかった外反母趾とばね指の痛みが、すっかり無くなってしまいました。
BHさん 女性

ずっと外反母趾とばね指に悩んでいました。足の親指の付け根の箇所が痛み、この痛みによって歩けなくなることが何度もあり、痛んでは休憩し痛んでは休憩しと、何とか痛みを紛らわせ、目的地まで歩いたことが何度もあります。

こんな状態を改善するために、整形外科に長年通院していますが、症状は一向に治りませんでした。治らなくても何もしないよりかは、効果があるはずだと思い通い続けていましたが、それでも一向に治らなかったので、とうとう諦めて痛みを我慢して生きていこうと考えていたところ、友達が三浦先生のことを紹介してくれました。

三浦先生にお世話になり始めてからはすっかり痛みがなくなり、どこに行くにも足を気にせずに歩けるようになりました。

たまに痛みが出てきても、通院すればまたしばらく痛みを気にせず歩けるようになるので、メンテナンスのために定期的に通っています。

えっ、なんで?今まで治らなかった痛みが一瞬でなくなった!
YKさん 女性

股関節に痛みがあり。ほとんど歩けない状態でした。

整形外科医の先生に診ていただいていたのですが、治らない痛みと判断され、この痛みを抱えたまま生きていくのかとすごく気分が落ち込んでいました。

ちょっとしたきっかけで三浦先生の院にお世話になったところ、最初の施術から痛みが溶けるようになくなっていき「えっ、なんで? 今まで治らなかった痛みが一瞬でなくなった!」とすごく驚きました。

施術一回で痛みがなくなり、だいぶ歩けるようになりました。 それから何回か通っていますが、通うたびに本当に楽になっていくので、通院が楽しみです。

吐くほどの頭痛と肩こりが嘘のようになくなり、本当に楽な毎日を過ごせるようになりました。
KRさん 女性

吐くほどの頭痛と肩こりに大変悩んでいました。

しかも、その頭痛がたまに起きる程度ではなく、かなり慢性化して日常的な出来事になっていたので、その度に吐き気に見舞われ苦しい思いを何度もしてきました。

こんなに悪い症状が続くと、日常生活で家事をするにも出かけるにも都合が悪く、なんとかこの頭痛と肩コリを治したいと常々思っていました。

手足を押さえて痛みがなくなる三浦先生の整体は本当に不思議で、感動しています。あれほど悩んでいた吐き気を伴う頭痛も今では嘘のようになくなり、本当に楽な毎日を過ごせるようになりました。

薬に頼らず、三浦先生に治療をお願いして正解でした。

一度忙しくなり何ヵ月か治療に行けなくなってからは、いつの間にか調子が悪くなり先生の治療を受けている時との差をハッキリと実感しました。
小山朱美さん 女性

三浦先生の治療を受けてから、持病の腰痛がほとんどなくなり、健康に毎日過ごせていました。

しかし、一度忙しくなり何ヵ月か治療に行けなくなってからは、いつの間にか調子が悪くなり、先生の治療を受けているときとの差をハッキリと理解しました。

先生に体のバランスを整えて頂いていることを痛感いたしました。今後も健康を保てるように続けていきたいと思っています。

腰痛、肩こり時の「駆け込み寺」として、10年以上お世話になっています。
SSさん 女性

腰痛、肩こり時の「かけ込み寺」として、10年以上お世話になっております。

先日第一子を出産しまして、妊娠中も腰痛や手足のむくみなどあったのですが、治療を受けていると症状が和らぐのが大変ありがたく、何度も通わせていただきました。

逆子になった時は、逆子が直るツボを教えていただき、すぐにおなかの子供も頭を下に直してくれました。

安産治療もしていただき、初産でしたがスムーズに子宮口も開き、ドクターや助産師さんからも驚かれたほどです。

産後の経過も順調です。今後も骨盤のケアと子育てで凝り固まった肩や首をほぐしていただこうと思っています。今後ともよろしくお願いします。

腕を覆う神経痛、腰痛、肩こり、ひざ痛、高血圧まで一気に治りました。自分が健康になっているのが実感できます。
STさん 女性

最初はほんの一瞬、腕に違和感を感じただけでした。

それからその違和感がどんどん大きくなって、ついには腕全体が神経痛で悩まされるようになりました。痛みのせいで筆を握ることができなくなり、絵描きもできなくなりました。

何とかしてまた絵を描きたい、描き続けたいと思い、治してくださる方を探しているうちに、三浦先生のところに辿り着きました。

三浦先生の整体はとても静かです。 関節を鳴らしたり、上にのって強い力で押したりすることはされませんでした。

にも拘わらず、悩んでいた神経痛だけではなく、腰痛や肩コリ、ひざの痛みまで改善されました。体全体の悪いところが一気によくなった感覚があります。

血圧も下がり、自分が健康になっているのが実感できます。


今では杖なしで歩くことができるようになりました。いつまでも絵を描き続けられるよう、これからも治療に参りたいと思います。

先生に出会わなければ100歳まで生きられませんでした。きっとね。
100歳の京都女子大学名誉教授 塚田満江 先生

9年間お世話になってます。

以前は、肩こり、右腕のしびれ、腰痛、両膝の痛みと満身創痍でいましたが、現在ほとんど痛みがありません。

先生に出会わなければ100歳まで生きれませんでした。きっとね。

45年前、ロンドン大学の客員教授をしていた頃、下宿屋のおばさんの勧めでカイロに出会い帰国後は時々整形外科に行くぐらいで、年々体は老いていきました。

90歳を超えていよいよ寿命かと覚悟した時に、先生が近くでカイロを開業された。不思議な巡り合わせです。

ハリ灸も好きですが、先生の優しいカイロが一番です。心臓に少し不安はありますが、先生がいる限り毎日が楽しいですよ。

このように、

腰痛、肩こり、ひざ痛、ギックリ腰、脊柱管狭窄症、腰椎ヘルニア、産後の骨盤ケア、高血圧、
慢性頭痛、ひざ痛、乗り物酔い、ストレートネック、外反母趾、神経痛、手足のしびれ…

症状名を問わず、あらゆる痛みや疾患が実際に消えてなくなっています。

あなたが3WAYペインキラーテクニックを取り入れれば、
三浦先生と同じ結果を出すことができるのです。

ただ、先ほどもお伝えした通り・・・

これは、本来であれば一般公開が
禁じられている手技です

最初に説明した通り、この手技は本来であれば一般公開されるものではありません。

鍼灸師以外に鍼灸テクニックを教授した場合、鍼灸師会では除名処分です。 カイロ学位保持者以外にカイロテクニックを教授した場合、 世界カイロ連盟WFCの日本代表団体、JACでは除名処分です。

以前、三浦先生が京都府鍼灸師会の理事を務めていた際に 3WAYペインキラーテクニックに近いものをセミナーで広めたいと 願い出たことがありましたが、実現することはありませんでした。

治療院業界には、良質な技術があっても、自分や仲間内だけに留めている風潮があります。

しかし、『治療技術』とはそもそも誰のためにあるものなのでしょうか?

それを考えた三浦先生は、すでに両方の会を脱退し、 1人でも多くの先生にこの手技を広め、1人でも多くの患者さんを救うために この手技をあなたへ公開する覚悟を決めました。

ですので、この手技を伝授する前に1つだけ聞いておきたいことがあります。

なぜ、あなたは治療家になったのですか?

1つだけ約束していただきたいのです。この手技を手に入れることで、あなたは従来の整体施術では決して実現できなかった
施術結果を出すことができ、治療家として豊かな人生を手に入れることができるでしょう。

ただし、この手技を悪用だけはしないでいただきたいのです。

この手技を受け取っていただきたい方は・・・

  • 患者さんを救ってあげたい
  • 家族に楽をさせてあげたい
  • 子どもの将来のために好きなことをさせてあげたい
  • スタッフやスタッフの家族を幸せにしたい

こういった方にのみ、受け取っていただきたいのです。

この約束を守れる方は、ぜひこの続きをご覧になって明るい未来を手に入れてください。

発表します!坂戸考志の「緩消法マスターテクニック」 発表します!坂戸考志の「緩消法マスターテクニック」
なぜ、従来の整体施術では治しきれない痛みがあるのか?
筋肉由来の鋭い痛みを完全に取りきる方法とは?
カイロドクターが推薦!手技療法界で最高峰の根本治療テクニックとは?
深部筋・関節・内臓に分布する鈍痛を解消する方法
副交感神経を回復させるために、アプローチすべき2つの部位
薬・病院通い不要!出血性・ウイルス性を除くすべての内臓疾患を手技で根治できる手技とは?

「薬が効かない」「病院の検査数値が悪くなってきた…」と悩む患者さんに施せる、医者でも納得する治療理論とは?
ステロイド系の薬を服用しているお子様の喘息発作を止めてあげる方法とは?
アトピー、不妊症など悩みの深い患者さんにも変化を実感してもらえる治療法
出生時に頸椎にダメージを受けた乳幼児を発育不良から回復させる方法とは?

250万人中わずか数名しか習得できなかった“あの治療法”を21歳の女学生でも再現できるようにした奇跡の方法とは?
シンプルかつ、年々上達していける「一生使える」手技
なぜ、多くの治療家が脊髄の構造を勘違いしていたのか?
頸椎1番を簡単に触知できるポイント

実は“あの神経”が圧迫されていました
数十秒で骨盤矯正の効果を患者さんに実感させる方法
なぜ、仙結節靭帯にアプローチすることで仙骨・腸骨・背骨が一気に矯正されるのか?
たった1つのアプローチで数種類の反射を起こし、最も効率的に関節矯正を施す方法
超時短!ガチガチに固まった脊柱起立筋を神経反射によって瞬時に弛緩させる方法
生殖泌尿器の機能を根本的に改善する骨盤矯正とは?
仙骨の動きを阻害する要因を取り除き、副交感神経を正常化させるには?
たった60秒で脊柱の横突起に触れられる深部まで起立筋を弛緩させる方法
肩から腰まで狙った部位をピンポイントで弛緩させるテクニック
患者さんの重心の左右差を判断できる5つのポイントとは?
3WAYペインキラーテクニックの施術前後の変化を最も患者さんに実感してもらえる痛みの検査とは?
仙結節靭帯の反射を起こすのに“最も適切な圧の強さ”とは?
ドクンドクンと起立筋の硬結が拍動し、溶けるように緩んでいくのが分かるほど効果テキメン!脊柱の圧痛除去法
患者さんが痛みを訴える筋肉の痛みをたった20秒!その場で解消させる手技
直接触れずに仙骨の角度を調整し、脊柱のバランスを整える方法とは?

親指と人差し指は●●度!仙結節靭帯を“ひねる”ことで最大の神経反射が起こります…!
仙骨、腰椎、胸椎、頸椎…下からクルクルッと自動的に脊柱が矯正される“魔法のテクニック”とは?
素人でも再現できた!たった20秒、仙結節靭帯をひねるだけで仙骨・腸骨・背骨を一気に矯正する方法

女性患者さんに不快感を与えない!仙結節靭帯の触り方
たったコレだけ!最速で骨盤矯正を完結させる唯一の方法

「カイロの神髄」アトラス矯正を誰でも簡単に再現できる方法
数千万円の器具を使ってやっと結果を出せる“あの手技”を素手だけで再現する!ゴルジ腱器官の反射を使った矯正法
たった60秒アトラスの●●に触れるだけで、自然とズレが矯正できる!
素人でも簡単にアトラスを触知できて、安全に矯正するコツ
頸椎矯正に慣れていない先生でも、頚椎の構造が手に取るようにわかる!乳様突起を“なぞるだけ”の触診法
整体未経験者でもできた!ゴルジ腱器官を反応させ、アトラス矯正を5分で完結させる唯一の方法とは?

その場でスーッと頭が軽くなる!すぐ使える後頭骨アプローチ
座位でもできる!アトラス矯正の応用編
たった10秒!手技で経絡を刺激して瞬間的に筋硬結を弛緩、痛みを消失させるたった1つの方法
他の整体院では絶対に取れない痛みを鎮痛できる手技とは?
ふくらはぎの経穴にアプローチして、腰痛を取り去る方法
鍼灸師じゃなくてもすぐに再現できる!広範囲の肩こり・五十肩胸郭出口症候群を速攻で解消できる大腸経アプローチ
ギックリ腰の患者さんの足に触れるだけ!施術後はスタスタ歩いて帰れる!あの鋭い痛みをその場で除去できる経穴とは?

腓骨の経穴にアプローチして、寝違えを完治させる方法
全360通り!全身あらゆる痛みを鎮痛できる万能テクニック
素人でもわかる!簡単な3ステップで鋭い痛みを取る鎮痛法
たった3つ!頭痛に発展する重度の肩こりまで劇的に解消できる経穴とは?
直接患部に触れずに、楽な姿勢で鎮痛アプローチをする方法

元鍼灸師会理事がおすすめする症状別の特効穴とは?
刺すような痛みの腰痛を、足部のアプローチで解消させる方法
これだけは欠かせない!整体施術でベテラン鍼灸師の技を再現する最大のポイントとは?
イマイチ取り切れなかった“あの症状”を完治させる経穴とは?
最後にもう一度まとめます
カイロ&鍼灸の最高峰テクニックを網羅した
ペインキラーテクニックを手に入れると…
  • 従来の整体アプローチでは取り切れなかった症状が完全に治せるようになるので、自分の腕に自信を持つことができます。
  • シンプルながら奥が深いテクニックなので、一度覚えてしまえば360通り以上の鎮痛アプローチができるようになります。
  • 「カイロの神髄」と呼ばれ、数千万円の器具を使ってやっと矯正できるとされるアトラス(頸椎1番)の歪みを、翌日からあなたの手で矯正できるようになります。
  • 鍼灸師が10年かけて習得する鎮痛治療と同等の結果を、鍼を使わずわずか数十秒で再現できる経絡アプローチができるようになります。
  • 最短20秒!即効で鎮痛できるので、施術を始めた直後から患者さんと信頼関係を築くことができます。
  • 筋肉の硬結が溶けるように無くなっていくのが患者さんにも実感していただけるので、初診から患者さんを驚かせ「他の先生とは違う!」と差別化することができます。
  • 直接患部に触れず、身体のいたるところから鎮痛アプローチができるので、重症患者さんに無理な姿勢を強いることなく症状を改善することができます。
  • がんや内臓疾患、高血圧など加齢とともに起こるとされる疾患を未然に防ぐことができるので、ご老人の患者さんなどに通院をオススメしやすくなります。
  • 慢性疲労やうつ、不眠など自律神経系の症状を訴える患者さんにも、たった1回の施術で変化を感じさせることができます。
もう手技セミナーやDVDに
お金を掛ける必要はありません

「3WAYペインキラーテクニック」なら、どんな痛みも完全に消すことができます。

難治性の腰痛、ギックリ腰、ひざ痛、慢性疲労、不眠、坐骨神経痛、肩こり、五十肩、椎間板ヘルニア、股関節痛、ヘルニア、不妊症、アトピー、腱鞘炎…

筋骨格系の症状はすべて適応でき、自律神経系の症状に対しても、ほかのとは手技とは群を抜く効果を出せます。正直、この3つの手技さえ手に入れれば治療家として一生食べていくこともできるでしょう。

また、この手技はカイロプラクティック・鍼灸の有資格者が10年以上の途方もない年月と、数千万円というお金をかけてやっと手に入れられるような技術を、明日からでも臨床で使えるほど簡略化することに成功した、三浦先生の努力の結晶でもあります。そこに至るまでの時間と労力を考えると、少なく見積もっても数十万円で提供すべき技術です。

ただ、ペインキラーテクニックは他の誰でもなく、患者さんのために作られた技術でもあります。そこで今回は、1人でも多くの治療家さんにペインキラーテクニックをお試しいただけるよう、当初企画された価格から大幅に割り引いて39,900円(税抜)での販売を決定しました。

ここで更なる特別オファーです。5月16日(水)23時59分までにお申込いただいた方に限り、さらに1万円引いた29,900円(税抜)でご提供させていただきます。分割払いなら、月々たったの1,296円(税別)の24回払いで手に入れていただけます。

数十万円の価値がある技術がこんな常識外れな金額で手に入るチャンスは他にあるでしょうか?

ただし、5月16日(水)23時59分までの期間限定での公開とし、期間終了後は、DVDプログラムの提供を終了とさせていただきますので、ご注意ください。

「四十肩・五十肩や、膝痛の患者さんの痛みがイマイチ取り切れない…」

そんな先生のために、特別にあるDVDを収録させていただきました。

このDVDには、四十肩・五十肩、膝痛の鎮痛に特化したテクニックが網羅されています。
わずか数十秒で筋肉の硬結を取り去り、溶かすように痛みを消してしまうテクニックです。

あなたが今使っている手技は変えないまま、ほんの数十秒だけこのテクニックを取り入れていただくだけで施術の結果が大きく変わりますので、是非、お試しください。

このテクニックを手に入れると・・・

  • わずか20秒!五十肩の痛みを即効で解消でき、可動域も拡げられます!
  • 肩に触れずに鎮痛できるので、全く肩が動かせない患者さんにも有効です!
  • 鍼でしか治せなかった痛みを無痛で治せるので、他院と差別化できます!

でも一体どんなテクニックなの・・・?

そう思われた勉強熱心な先生へ、
その秘密をすこしだけ、お伝えします・・・!

熟練した鍼灸師の鎮痛法が、手技で再現できる唯一の方法とは?
熟練した鍼灸師による精密な鍼治療でしか治せなかった痛みが、この手技を使うとキレイに取り去ることができます。しかもたった数十秒の時短テクニックなので、一瞬で痛みが消すことで患者さんを驚かせ「この先生すごい!」と信頼してもらうことができます。
セルフケアにも使えるので、術後の指導で信頼関係を築けます。
ゆっくり膝を曲げ伸ばしするだけで、瞬間的に五十肩に効果を発揮します。この動作を患者さんに自宅で10回やってもらうだけで症状が悪化したり、リバウンドしたりすることがなくなり、自然と信頼してもらうことができます!

「次はいつ来たら良いでしょうか?」

もし初めて来院された患者さんから、こんな風に言ってもらえたらどう思いますか?

当然、嬉しいですよね。
患者さんは“常連”となって繰り返し通院してくれるので、売上の見通しが立つようになります。

そこで、この特典DVDには特別に、10人中9人が3回以上リピートする京都一のゴッドハンド・三浦先生の問診から施術までの一連の流れも収録しています。

この映像をご覧いただくことで、3WAYペインキラーテクニックを施術する際のシュミレーションができるので、より臨床の現場でペインキラーテクニックを取り入れやすくなり、すぐに結果を出すことができるでしょう。

特典2

「すぐに使える特効穴を学びたい!」

そう考えている勤勉なあなたのために、三浦先生から腰痛・肩こりなど症状別に最も効く経穴の一覧を預かっています。

三浦先生は独自に研究と臨床を重ね、すぐに臨床で使えて、即結果の出る特効穴のみを編集してくださいました。

これだけでも充分すぎる内容ですが…

それだけではありません!三浦先生は、あなたにすぐに3WAYペインキラーテクニックを手に入れて、臨床で自由に使っていただけるようになっていただくために、DVDの内容をさらに効率よく学べる補足テキストを作ってくれまし た。

このテキストを手に入れると・・・

  • あなたが悩んでいる症状をピンポイントで治せる方法が分かります!
  • このテキストを読むだけで、鎮痛できる症状の幅が一気に拡がります!
  • わざわざDVDを観なくても復習出来て時間が節約できます!

「3WAYペインキラーテクニック」のノウハウと補足知識を惜しみなく出し切ってくれたので、
必ずあなたの手技力向上に貢献してくれるでしょう。

※「豪華特典その2」のテキストは、DVDと同梱してお届けいたします。

特典3
特典3

骨盤をユラユラ揺らすだけで脊柱起立筋の緊張をスーッと抜き取り、背部痛、腰痛、肩こり、ヘルニア、脊柱管狭窄症、五十肩、首痛、頭痛など…

あらゆる慢性痛みを根治する骨盤ペインキラーテクニックの応用版を公開します!より優しい刺激で、患者さんの臀部に触れずに仙骨・腸骨・背骨が一気に矯正できるので女性の患者さんを中心に、生理中の方、妊婦さん、痔の方などにも気軽に施術することができる便利なテクニックです。

※「豪華特典その3」の映像は、インターネット上から視聴していただく形となります。

特典3

「1日中、施術の質を下げずに治療したい!」

そんな先生のために、患者さん・施術者ともにリラックスして施術をすることができる施術時の姿勢を三浦先生が紹介してくださいます。

この映像をご覧になると・・・

  • 患者さんの防御反応によって施術効果を下げるリスクが減ります!
  • 1日中施術しても疲れにくい、疲労の溜まらない姿勢が分かります!

※「豪華特典その4」の映像は、インターネット上から視聴していただく形となります。

特典3

圧の強さや角度などが気になる先生は、ぜひこの特典を手に入れてください!

  • 最も効果的な経穴への圧のかけ方が習得できます!
  • 新米整体師の先生でも経絡ペインキラーが自在に使えます!

先生のいつもの施術の合間に、こっそりと経絡ペインキラーを使って、患者さんの重い腰痛・肩こりを一気に解消してあげてください!

患者さんの期待を上回る結果をプレゼントすることができます。

「この先生は他の先生とは違う!」と差別化をすることができ、リピート率もアップさせることができます。

※「豪華特典その5」の映像は、インターネット上から視聴していただく形となります。

でも使えなかったらどうしよう…

このDVD動画プログラムには返金保証がついています。

あなたに安心・満足していただきたい、本当に価値あるものを届けたいという想いで、
製品の制作をし、リリースさせていただいております。

しかし、動画DVDという商品の性質上、購入前に内容をご覧頂くことができず、
中には購入してみたものの、自分に合わなかったということもございます。

そこで、お買い上げ頂きました商品の[全額返金満足保証]サービスを設けております。

もし、DVDを購入して頂き、今よりも技術的なスキルが上がらない、或は実践したにも関わらず効果がみられないということであれば、弊社商品配送日から60日以内(必着)であれば、全額返金します。

商品に自信があるから、ご納得いただきたいから、どうぞ安心してお買い求め下さい。

特記:商品価値を守るため、また販売できる個数が限定された商品を本当に必要なお客様に手に取って頂くために、商品の内容の如何に関連しない著しく悪質な理由による返品や、転売・特典目的による購入、返金ありきでの購入と判断できる方による返品に関しましては、保証対象外とさせていただきますのでご了承ください。
※例)商品内容ではなく、個人都合による新商品購入のための返金、または交換など。
※保証適応については、治療院マーケティング研究所のホームページにある専用ページ「満足度保証について」にて
お手続きをお願い致します。
※事務手続きを経て、教材返品の確認が取れましたら、お支払い頂いた費用の全額を10営業日以内に返金させて頂く事を約束します。(送料はお客様のご負担となります。)
※なお起算日は弊社からの商品発送日(配達票の伝票受付日)とし、起算日から60日以内に弊社必着である場合に限り保証の対象と
なります。

5月16日(水)を過ぎると公開終了です
このチャンスを逃さないでください

「地域の患者さんを一人でも救いたいと考えている、愛のある治療家さんを本気で応援したい」

そう思って、特別に29,900円という価格で提供させていただくことに決めました。

今回発表した「3WAYペインキラーテクニック」DVDは、世界で初めてカイロプラクティックと鍼灸治療というまったく異なる2つの治療法を融合させた、唯一のDVDです。

文中でも申し上げた通り、本来であれば公開することを禁じられているテクニックですので、あなたがこのページを読む頃には、恐らく三浦先生は業界から批判の声を浴びているでしょう。

しかし三浦先生は、治療家としての誇りをもって「患者様のためになるのなら、自分の立場はどうなっても構わない」と仰いました。

これは、治療院業界にとって大変貴重であり、大きな一歩ではないでしょうか。

ペインキラーテクニックのように、業界の垣根を超えて本当に使えるテクニックどうしを寄り合わせた手技の一般公開は、彼のように本当に勇気と誇りのある治療家がいてはじめて成すことができる、まさに“偉業”だと思います。

そして何より、ペインキラーテクニックは整体師、柔整師、鍼灸師、マッサージ師、まったくの素人の方まで…どんな方にも再現できるほど簡単かつ結果の出る治療法です。この再現性の高さこそ、ペインキラーテクニックの最大の魅力ではないかと考えております。

アトラス・骨盤・経絡のどれかひとつでも、あなたの施術に合う治療法があるならば、ぜひ取り入れていただくことをお薦め致します。

今までイマイチ取り切れなかった痛みに悩んでいる先生や、もっと早く・確実に症状を治してあげたいと考えている先生にとっては、これ以上ない究極の根治療法です。

この手技が1人でも多くの治療家の先生に伝承され、1人でも多くの患者様が痛みから解放される未来を願って、三浦先生と共に「3WAYペインキラーテクニック」を公開いたします。

最後までお読みいただき、誠にありがとうございました。



最後に、三浦誠先生からメッセージがあります。